Warehouse Overstock Promotion |  Save 10%  on Premium Lab Supplies |  Shop Now

Menu

This product has been added to the cart.

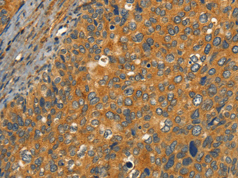
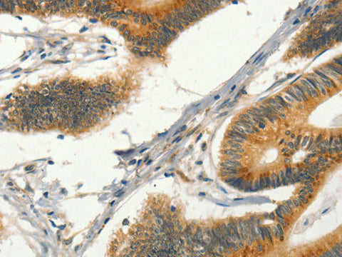
CIB1 Polyclonal Antibody Store at -20°C

SKU: E-AB-13150-200

  • $ 55995
  • Save $ 4000


Request a Quote

CIB1 Polyclonal Antibody Store at -20°C

 

SKU # E-AB-13150
Reactivity Human, Mouse, Rat
Host Rabbit
Applications IHC

 

Product Details

Isotype IgG
Host Rabbit
Reactivity Human, Mouse, Rat
Applications IHC
Clonality Polyclonal
Immunogen Synthetic peptide of human CIB1
Abbre CIB1
Synonyms CIB,  CIB1,  CIBP,  Calcium and integrin binding 1 (calmyrin),  Calcium and integrin binding protein 1,  Calcium and integrin-binding protein 1,  Calcium- and integrin-binding protein,  Calmyrin,  DNA PKcs interacting protein,  DNA-dependent protein kinase interacting
Swissprot
Cellular Localization Membrane. Cytoplasm. Nucleus. Cell projection>filopodium. Apical cell membrane. Localizes to the perinuclear region in the presence of NBR1. Colocalizes with TAS1R2 in apical regions of taste receptor cells.
Concentration 0.3 mg/mL
Buffer Phosphate buffered solution, pH 7.4, containing 0.05% stabilizer and 50% glycerol.
Purification Method Affinity purification
Research Areas Signal Transduction
Conjugation Unconjugated
Storage Store at -20°C Valid for 12 months. Avoid freeze / thaw cycles.
Shipping The product is shipped with ice pack,upon receipt,store it immediately at the temperature recommended.

 

Related Reagents

Applications Recommended Dilution
IHC 1:50-1:200

 

Background

This gene encodes a member of the EF-hand domain-containing calcium-binding superfamily. The encoded protein interacts with many other proteins, including the platelet integrin alpha-IIb-beta-3, DNA-dependent protein kinase, presenilin-2, focal adhesion kinase, p21 activated kinase, and protein kinase D. The encoded protein may be involved in cell survival and proliferation, and is associated with several disease states including cancer and Alzheimer's disease. Alternative splicing results in multiple transcript variants.