Warehouse Overstock Promotion |  Save 10%  on Premium Lab Supplies |  Shop Now

Menu

This product has been added to the cart.

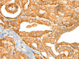
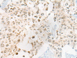
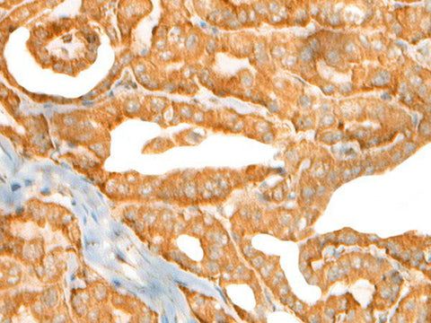
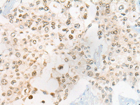
CEP72 Polyclonal Antibody

SKU: E-AB-52537-200

  • $ 55995
  • Save $ 4000


Request a Quote

CEP72 Polyclonal Antibody

 

SKU # E-AB-52537
Reactivity Human
Host Rabbit
Applications IHC

 

Product Details

Isotype IgG
Host Rabbit
Reactivity Human
Applications IHC
Clonality Polyclonal
Immunogen Fusion protein of human CEP72
Abbre CEP72
Synonyms CEP72,  Centrosomal protein 72kDa,  Centrosomal protein of 72 kDa,  Cep72,  FLJ10565,  MGC5307,  RGD1566336
Swissprot
Cellular Localization Cytoplasm>cytoskeleton>centrosome. Localizes to the centrosome and centrosome-surrounding particles throughout the cell cycle. These particles disappear after microtubules are depolymerized using nocodazole, suggesting that CEP72-associating particles localize in a microtubule-dependent manner.
Concentration 0.6 mg/mL
Buffer Phosphate buffered solution, pH 7.4, containing 0.05% stabilizer and 50% glycerol.
Purification Method Antigen affinity purification
Research Areas Tags,  Cell Markers
Conjugation Unconjugated
Storage Store at -20°C Valid for 12 months. Avoid freeze / thaw cycles.
Shipping The product is shipped with ice pack, upon receipt, store it immediately at the temperature recommended.

 

Related Reagents

Applications Recommended Dilution
IHC 1:30-1:150

 

Background

The product of this gene is a member of the leucine-rich-repeat (LRR) superfamily of proteins.The protein is localized to the centrosome, a non-membraneous organelle that functions as the major microtubule-organizing center in animal cells.