Warehouse Overstock Promotion |  Save 10%  on Premium Lab Supplies |  Shop Now

Menu

This product has been added to the cart.

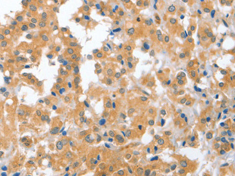
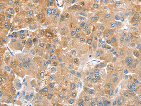
CDR2 Polyclonal Antibody

SKU: E-AB-11068-200

  • $ 33995
  • Save $ 6000


Request a Quote

CDR2 Polyclonal Antibody

 

SKU # E-AB-11068
Reactivity Human, Mouse
Host Rabbit
Applications IHC

 

Product Details

Isotype IgG
Host Rabbit
Reactivity Human,  Mouse
Applications IHC
Clonality Polyclonal
Immunogen Recombinant protein of human CDR2
Abbre CDR2
Synonyms AA617262,  CDR 2,  CDR 62,  CDR2,  CDR62,  Cerebellar degeneration related protein,  Cerebellar degeneration related protein 2,  Cerebellar degeneration related protein 2 62kDa,  Cerebellar degeneration-related protein 2,  MGC,  MGC116181,  Major Yo paraneoplastic antigen
Swissprot
Cellular Localization Other locations: cytoplasm.
Concentration 0.4 mg/mL
Buffer Phosphate buffered solution, pH 7.4, containing 0.05% stabilizer and 50% glycerol.
Purification Method Affinity purification
Research Areas Cancer,  Immunology
Conjugation Unconjugated
Storage Store at -20°C Valid for 12 months. Avoid freeze / thaw cycles.
Shipping The product is shipped with ice pack,upon receipt,store it immediately at the temperature recommended.

 

Related Reagents

Applications Recommended Dilution
IHC  1:50-1:200

 

Background

CDR2 (cerebellar degeneration-related protein 2), also referred to as Yo or CDR62, is a 545 amino acid protein that is associated with the development of paraneoplastic cerebellar degeneration (PCD).PCD, an immune-mediated syndrome, belongs to a heterogeneous group of rare paraneoplastic neurologic disorders affecting the neurological system.PCD is characterized by subacute cerebellar ataxia and occurs mainly in patients with ovarian, uterine, fallopian tube or breast cancer.