Warehouse Overstock Promotion |  Save 10%  on Premium Lab Supplies |  Shop Now

Menu

This product has been added to the cart.

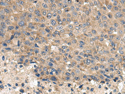
CD59 Polyclonal Antibody Reactivity Human

SKU: E-AB-53030-200

  • $ 55995
  • Save $ 4000


Request a Quote

CD59 Polyclonal Antibody Reactivity Human

 

SKU # E-AB-53030
Reactivity Human
Host Rabbit
Applications IHC

 

Product Details

Isotype IgG
Host Rabbit
Reactivity Human
Applications IHC
Clonality Polyclonal
Immunogen Fusion protein of human CD59
Abbre CD59
Synonyms 16.3A5,  1F5,  1F5 antigen,  20 kDa homologous restriction factor,  CD 59,  CD59,  CD59 antigen,  CD59 antigen complement regulatory protein ,  CD59 antigen p18 20,  CD59 antigen p18-20 (antigen identified by monoclonal antibodies 16.3A5,  CD_antigen=CD59,  EJ16,  EJ30,  EL32 and
Swissprot
Cellular Localization Cell membrane. Secreted. Soluble form found in a number of tissues.
Concentration 1.02 mg/mL
Buffer Phosphate buffered solution, pH 7.4, containing 0.05% stabilizer and 50% glycerol.
Purification Method Antigen affinity purification
Research Areas Cancer,  Cardiovascular,  Immunology,  Signal Transduction,  Stem Cells
Conjugation Unconjugated
Storage Store at -20°C Valid for 12 months. Avoid freeze / thaw cycles.
Shipping The product is shipped with ice pack, upon receipt, store it immediately at the temperature recommended.

 

Related Reagents

Applications Recommended Dilution
IHC 1:150-1:300

 

Background

This gene encodes a cell surface glycoprotein that regulates complement-mediated cell lysis, and it is involved in lymphocyte signal transduction. This protein is a potent inhibitor of the complement membrane attack complex, whereby it binds complement C8 and/or C9 during the assembly of this complex, thereby inhibiting the incorporation of multiple copies of C9 into the complex, which is necessary for osmolytic pore formation. This protein also plays a role in signal transduction pathways in the activation of T cells. Mutations in this gene cause CD59 deficiency, a disease resulting in hemolytic anemia and thrombosis, and which causes cerebral infarction.