Warehouse Overstock Promotion |  Save 10%  on Premium Lab Supplies |  Shop Now

Menu

This product has been added to the cart.

CCL17 Polyclonal Antibody

SKU: E-AB-12309-200

  • $ 55995
  • Save $ 4000


Request a Quote

CCL17 Polyclonal Antibody

 

SKU # E-AB-12309
Reactivity Human, Mouse
Host Rabbit
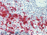
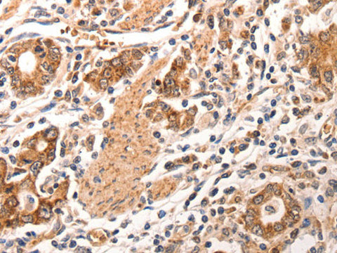
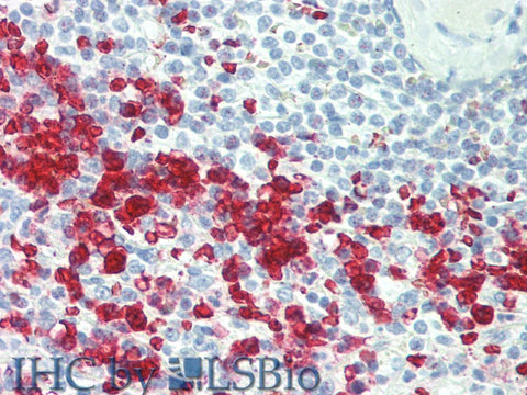
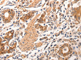
Applications WB, IHC

 

Product Details

Isotype IgG
Host Rabbit
Reactivity Human, Mouse
Applications WB, IHC
Clonality Polyclonal
Immunogen Synthetic peptide of human CCL17
Abbre CCL17
Synonyms A-152E5.3,  A152E53,  ABCD 2,  ABCD2,  C-C motif chemokine 17,  CC chemokine TARC,  CCL17,  Chemokine CC Motif Ligand 17,  MGC138271,  MGC138273,  SCYA17,  Small Inducible Cytokine A17,  Small Inducible Cytokine A17 Precursor,  Small Inducible Cytokine Subfamily A (Cys Cys)
Swissprot
Calculated MW 11 kDa
Cellular Localization Secreted.
Concentration 0.8 mg/mL
Buffer Phosphate buffered solution, pH 7.4, containing 0.05% stabilizer and 50% glycerol.
Purification Method Affinity purification
Research Areas Cancer,  Immunology
Conjugation Unconjugated
Storage Store at -20°C Valid for 12 months. Avoid freeze / thaw cycles.
Shipping The product is shipped with ice pack,upon receipt,store it immediately at the temperature recommended.

 

Related Reagents

Applications Recommended Dilution
WB 1:500-1:2000
IHC 1:100-1:300

 

Background

This gene is one of several Cys-Cys (CC) cytokine genes clustered on the q arm of chromosome 16. Cytokines are a family of secreted proteins involved in immunoregulatory and inflammatory processes. The CC cytokines are proteins characterized by two adjacent cysteines. The cytokine encoded by this gene displays chemotactic activity for T lymphocytes, but not monocytes or granulocytes. The product of this gene binds to chemokine receptors CCR4 and CCR8. This chemokine plays important roles in T cell development in thymus as well as in trafficking and activation of mature T cells.