Warehouse Overstock Promotion |  Save 10%  on Premium Lab Supplies |  Shop Now

Menu

This product has been added to the cart.

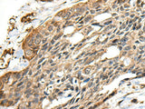
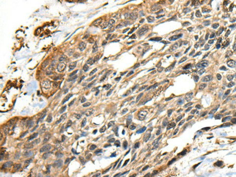
CCDC113 Polyclonal Antibody Reactivity Mouse

SKU: E-AB-52521-200

  • $ 55995
  • Save $ 4000


Request a Quote

CCDC113 Polyclonal Antibody Reactivity Mouse

 

SKU # E-AB-52521
Reactivity Human, Mouse
Host Rabbit
Applications WB, IHC

 

Product Details

Isotype IgG
Host Rabbit
Reactivity Human, Mouse
Applications IHC
Clonality Polyclonal
Immunogen Fusion protein of human CCDC113
Abbre CCDC113
Synonyms CC113,  Coiled coil domain containing 113,  Coiled-coil domain-containing protein 113,  DKFZp434N1418,  HSPC065,  ccdc113
Swissprot
Concentration 0.4 mg/mL
Buffer Phosphate buffered solution, pH 7.4, containing 0.05% stabilizer and 50% glycerol.
Purification Method Antigen affinity purification
Research Areas Cell Biology
Conjugation Unconjugated
Storage Store at -20°C Valid for 12 months. Avoid freeze / thaw cycles.
Shipping The product is shipped with ice pack, upon receipt, store it immediately at the temperature recommended.

 

Related Reagents

Applications Recommended Dilution
IHC 1:30-1:150

 

Background

Component of centriolar satellites contributing to primary cilium formation.