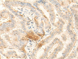
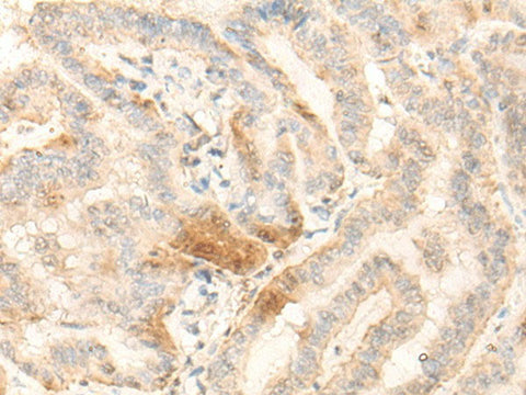
BZW2 Polyclonal Antibody
SKU: E-AB-52633-200
BZW2 Polyclonal Antibody
| SKU # | E-AB-52633 |
| Reactivity | Human, Mouse, Rat |
| Host | Rabbit |
| Applications | IHC |
Product Details
| Isotype | IgG |
| Host | Rabbit |
| Reactivity | Human, Mouse, Rat |
| Applications | IHC |
| Clonality | Polyclonal |
| Immunogen | Fusion protein of human BZW2 |
| Abbre | BZW2 |
| Synonyms | BZW 2, BZW2, Basic leucine zipper and W2 domain containing protein 2, Basic leucine zipper and W2 domain-containing protein 2, Basic leucine zipper and W2 domains 2, Bzw2, HSPC028, MST017, MSTP017 |
| Swissprot | |
| Concentration | 0.9 mg/mL |
| Buffer | Phosphate buffered solution, pH 7.4, containing 0.05% stabilizer and 50% glycerol. |
| Purification Method | Antigen affinity purification |
| Research Areas | Cell Biology, Developmental biology, Neuroscience |
| Conjugation | Unconjugated |
| Storage | Store at -20°C Valid for 12 months. Avoid freeze / thaw cycles. |
| Shipping | The product is shipped with ice pack, upon receipt, store it immediately at the temperature recommended. |
Related Reagents
| Applications | Recommended Dilution |
| IHC | 1:30-1:150 |
Background
May be involved in neuronal differentiation.