Warehouse Overstock Promotion |  Save 10%  on Premium Lab Supplies |  Shop Now

Menu

This product has been added to the cart.

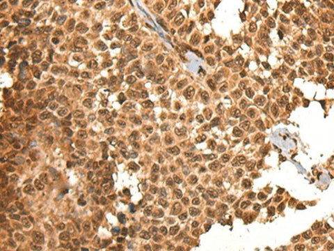
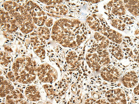
BRSK1 Polyclonal Antibody Reactivity Human

SKU: E-AB-52484-200

  • $ 55995
  • Save $ 4000


Request a Quote

BRSK1 Polyclonal Antibody Reactivity Human

 

SKU # E-AB-52484
Reactivity Human, Mouse, Rat
Host Rabbit
Applications IHC

 

Product Details

Isotype IgG
Host Rabbit
Reactivity Human, Mouse, Rat
Applications IHC
Clonality Polyclonal
Immunogen Fusion protein of human BRSK1
Abbre BRSK1
Synonyms BR serine/threonine kinase 1,  BR serine/threonine protein kinase 1,  BR serine/threonine-protein kinase 1,  BRSK 1,  BRSK1,  Brain selective kinase 1,  Brain-specific serine/threonine-protein kinase 1,  Brsk1,  FLJ43009,  KIAA1811,  Protein kinase SAD1A,  SAD,  SAD 1,  SAD1,  hSAD1
Swissprot
Cellular Localization Cytoplasm. Nucleus. Nuclear in the absence of DNA damage. Translocated to the nucleus in response to UV- or MMS-induced DNA damage.
Concentration 1.7 mg/mL
Buffer Phosphate buffered solution, pH 7.4, containing 0.05% stabilizer and 50% glycerol.
Purification Method Antigen affinity purification
Research Areas Cancer,  Cell Biology
Conjugation Unconjugated
Storage Store at -20°C Valid for 12 months. Avoid freeze / thaw cycles.
Shipping The product is shipped with ice pack, upon receipt, store it immediately at the temperature recommended.

 

Related Reagents

Applications Recommended Dilution
IHC 1:50-1:300

 

Background

The phosphorylation and dephosphorylation of proteins on serine and threonine residues is an essential means of regulating a broad range of cellular functions in eukaryotes, including cell division, homeostasis and apoptosis. A group of proteins that are intimately involved in this process are the serine/threonine (Ser/Thr) protein kinases. BRSK1 (BR serine/threonine-protein kinase 1), also known as SAD1, is a 794 amino acid protein that localizes to both the nucleus and the cytoplasm and contains one UBA domain and one protein kinase domain. Expressed in a variety of tissues with highest expression in testis and brain, BRSK1 uses magensium as a cofactor to catalyze the ATP-dependent phosphorylation of target proteins, including Wee 1 and Cdc25B. Via its kinase activity toward proteins that are involved in microtubule assembly, BRSK1 plays an essential role in neuronal polarization and may be involved in regulating cell cycle arrest in response to DNA damage, Two isoforms of BRSK1 exist due to alternative splicing events.