Warehouse Overstock Promotion |  Save 10%  on Premium Lab Supplies |  Shop Now

Menu

This product has been added to the cart.

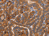
BMP6 Polyclonal Antibody Store at -20°C Host Rabbit

SKU: E-AB-16282-200

  • $ 55995
  • Save $ 4000


Request a Quote

BMP6 Polyclonal Antibody Store at -20°C Host Rabbit

 

SKU # E-AB-16282
Reactivity Human, Rat
Host Rabbit
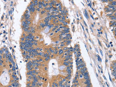
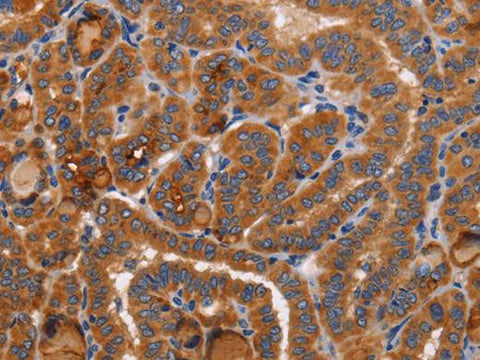
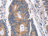
Applications IHC

 

Product Details

Isotype IgG
Host Rabbit
Reactivity Human, Rat
Applications IHC
Clonality Polyclonal
Immunogen Synthetic peptide of human BMP6
Abbre BMP6
Synonyms BMP-6,  BMP6,  Bmp6,  Bone Morphogenic Protein 6,  Bone morphogenetic protein 6,  DVR6,  Decapentaplegic vegetal related,  HGNC:12686,  TGFB related vegetal related growth factor,  Transforming growth factor beta,  Vegetal related (TGFB related) cytokine,  Vegetal related grow
Swissprot
Cellular Localization Secreted.
Concentration 0.5 mg/mL
Buffer Phosphate buffered solution, pH 7.4, containing 0.05% stabilizer and 50% glycerol.
Purification Method Affinity purification
Research Areas Cancer, Cell biology, Signal transduction, Stem cells
Conjugation Unconjugated
Storage Store at -20°C Valid for 12 months. Avoid freeze / thaw cycles.
Shipping The product is shipped with ice pack,upon receipt,store it immediately at the temperature recommended.

 

Related Reagents

Applications Recommended Dilution
IHC  1:50-1:200

 

Background

The bone morphogenetic proteins (BMPs) are a family of secreted signaling molecules that can induce ectopic bone growth. Many BMPs are part of the transforming growth factor-beta (TGFB) superfamily. BMPs were originally identified by an ability of demineralized bone extract to induce endochondral osteogenesis in vivo in an extraskeletal site. Based on its expression early in embryogenesis, the BMP encoded by this gene has a proposed role in early development. In addition, the fact that this BMP is closely related to BMP5 and BMP7 has lead to speculation of possible bone inductive activity.