Warehouse Overstock Promotion |  Save 10%  on Premium Lab Supplies |  Shop Now

Menu

This product has been added to the cart.

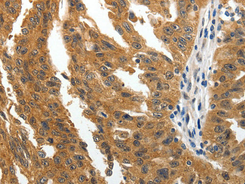
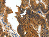
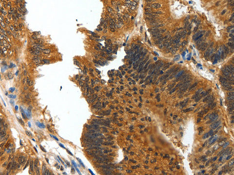
BIRC6 Polyclonal Antibody Host Rabbit

SKU: E-AB-12890-200

  • $ 55995
  • Save $ 4000


Request a Quote

BIRC6 Polyclonal Antibody Host Rabbit

 

SKU # E-AB-12890
Reactivity Human, Mouse
Host Rabbit
Applications IHC

 

Product Details

Isotype IgG
Host Rabbit
Reactivity Human, Mouse
Applications IHC
Clonality Polyclonal
Immunogen Synthetic peptide of human BIRC6
Abbre BIRC6
Synonyms Apollon,  Apollon protein,  BIR repeat containing ubiquitin conjugating enzyme,  BIRC 6,  BIRC6,  BRUCE,  Baculoviral IAP repeat containing 6,  Baculoviral IAP repeat containing protein 6,  Baculoviral IAP repeat-containing protein 6,  FLJ13726,  FLJ13786,  KIAA1289,  Ubiq
Swissprot
Cellular Localization Cytoskeleton, microtubule organizing center, spindle pole, Endosome, Golgi apparatus, Golgi apparatus, trans-Golgi network, Other locations: Flemming body, intracellular membrane-bounded organelle, membrane, midbody.
Concentration 0.3 mg/mL
Buffer Phosphate buffered solution, pH 7.4, containing 0.05% stabilizer and 50% glycerol.
Purification Method Affinity purification
Research Areas Cancer,  Cell Biology,  Epigenetics and Nuclear Signaling
Conjugation Unconjugated
Storage Store at -20°C Valid for 12 months. Avoid freeze / thaw cycles.
Shipping The product is shipped with ice pack,upon receipt,store it immediately at the temperature recommended.

 

Related Reagents

Applications Recommended Dilution
IHC 1:50-1:200

 

Background

This gene encodes a protein with a BIR (baculoviral inhibition of apoptosis protein repeat) domain and a UBCc (ubiquitin-conjugating enzyme E2, catalytic) domain. This protein inhibits apoptosis by facilitating the degradation of apoptotic proteins by ubiquitination.