Warehouse Overstock Promotion |  Save 10%  on Premium Lab Supplies |  Shop Now

Menu

This product has been added to the cart.

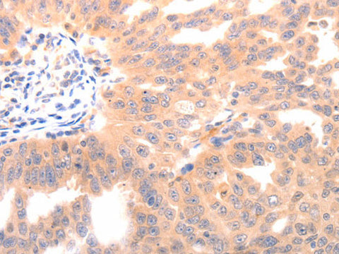
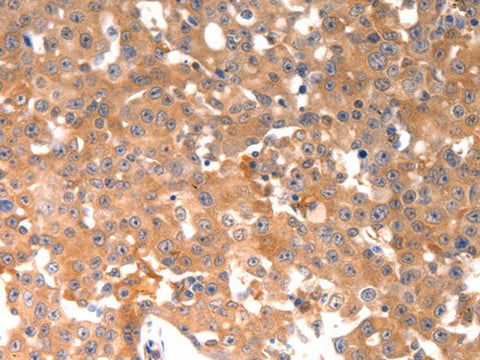
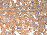
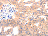
BGLAP Polyclonal Antibody Store at -20°C

SKU: E-AB-12296-200

  • $ 55995
  • Save $ 4000


Request a Quote

BGLAP Polyclonal Antibody Store at -20°C

 

SKU # E-AB-12296
Reactivity Human
Host Rabbit
Applications IHC

 

Product Details

Isotype IgG
Host Rabbit
Reactivity Human
Applications IHC
Clonality Polyclonal
Immunogen Synthetic peptide of human BGLAP
Abbre BGLAP
Synonyms BGLAP,  BGP,  Bone Gla protein,  Bone gamma carboxyglutamate (gla) protein,  Bone gamma carboxyglutamate gla protein osteocalcin,  Bone gamma carboxyglutamate protein,  Gamma carboxyglutamic acid containing protein,  Gamma-carboxyglutamic acid-containing protein,  OC,  OCN
Swissprot
Cellular Localization Secreted.
Concentration 0.3 mg/mL
Buffer Phosphate buffered solution, pH 7.4, containing 0.05% stabilizer and 50% glycerol.
Purification Method Affinity purification
Research Areas Cancer,  Signal Transduction,  Stem Cells
Conjugation Unconjugated
Storage Store at -20°C Valid for 12 months. Avoid freeze / thaw cycles.
Shipping The product is shipped with ice pack,upon receipt,store it immediately at the temperature recommended.

 

Related Reagents

Applications Recommended Dilution
IHC 1:50-1:200

 

Background

This gene belongs to the osteocalcin/matrix Gla protein family. The protein is a part of the bone protein. It binds strongly to apatite and calcium.BGLAP obtain peak expression at the day of 21 during osteogenesis.