Warehouse Overstock Promotion |  Save 10%  on Premium Lab Supplies |  Shop Now

Menu

This product has been added to the cart.

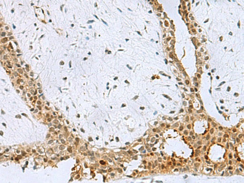
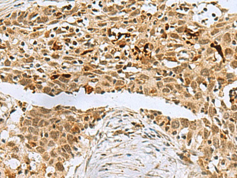
BCL7B Polyclonal Antibody Reactivity Human

SKU: E-AB-53079-200

  • $ 55995
  • Save $ 4000


Request a Quote

BCL7B Polyclonal Antibody Reactivity Human

 

SKU # E-AB-53079
Reactivity Human, Mouse
Host Rabbit
Applications IHC

 

Product Details

Isotype IgG
Host Rabbit
Reactivity Human, Mouse
Applications IHC
Clonality Polyclonal
Immunogen Fusion protein of human BCL7B
Abbre BCL7B
Synonyms B cell CLL/lymphoma 7 protein family member B,  B cell CLL/lymphoma 7B,  B-cell CLL/lymphoma 7 protein family member B,  BCL 7B,  BCL7B
Swissprot
Concentration 1.02 mg/mL
Buffer Phosphate buffered solution, pH 7.4, containing 0.05% stabilizer and 50% glycerol.
Purification Method Antigen affinity purification
Research Areas Cell Biology,  Metabolism,  Signal transduction
Conjugation Unconjugated
Storage Store at -20°C Valid for 12 months. Avoid freeze / thaw cycles.
Shipping The product is shipped with ice pack, upon receipt, store it immediately at the temperature recommended.

 

Related Reagents

Applications Recommended Dilution
IHC 1:50-1:200

 

Background

This gene encodes a member of the BCL7 family including BCL7A, BCL7B and BCL7C proteins. This member is BCL7B, which contains a region that is highly similar to the N-terminal segment of BCL7A or BCL7C proteins. The BCL7A protein is encoded by the gene known to be directly involved in a three-way gene translocation in a Burkitt lymphoma cell line. This gene is located at a chromosomal region commonly deleted in Williams syndrome. This gene is highly conserved from C. elegans to human. Multiple alternatively spliced transcript variants have been found for this gene.