Warehouse Overstock Promotion |  Save 10%  on Premium Lab Supplies |  Shop Now

Menu

This product has been added to the cart.

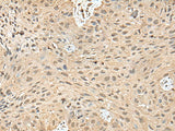
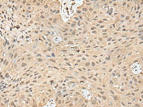
ATXN3 Polyclonal Antibody Reactivity Human

SKU: E-AB-52456-200

  • $ 55995
  • Save $ 4000


Request a Quote

ATXN3 Polyclonal Antibody Reactivity Human

 

SKU # E-AB-52456
Reactivity Human
Host Rabbit
Applications IHC

 

Product Details

Isotype IgG
Host Rabbit
Reactivity Human
Applications IHC
Clonality Polyclonal
Immunogen Fusion protein of human ATXN3
Abbre ATXN3
Synonyms AT3,  ATX3,  ATXN3,  Ataxin 3,  Ataxin-3,  EC 3.4.22.,  JOS,  Josephin,  Mac,  Machado Joseph disease,  Machado Joseph disease (spinocerebellar ataxia 3,  ataxin 3 variant h,  ataxin 3 variant m,  ataxin 3 variant ref,  ataxin 3),  autosomal dominant,  olivopontocerebellar ataxia 3
Swissprot
Cellular Localization Nucleus matrix. Predominantly nuclear, but not exclusively, inner nuclear matrix.
Concentration 0.4 mg/mL
Buffer Phosphate buffered solution, pH 7.4, containing 0.05% stabilizer and 50% glycerol.
Purification Method Antigen affinity purification
Research Areas Cancer,  Epigenetics and Nuclear Signaling,  Neuroscience
Conjugation Unconjugated
Storage Store at -20°C Valid for 12 months. Avoid freeze / thaw cycles.
Shipping The product is shipped with ice pack, upon receipt, store it immediately at the temperature recommended.

 

Related Reagents

Applications Recommended Dilution
IHC 1:40-1:200

 

Background

Machado-Joseph disease, also known as spinocerebellar ataxia-3, is an autosomal dominant neurologic disorder.The protein encoded by this gene contains (CAG)n repeats in the coding region, and the expansion of these repeats from the normal 12-44 to 52-86 is one cause of Machado-Joseph disease.There is a negative correlation between the age of onset and CAG repeat numbers.Alternatively spliced transcript variants encoding different isoforms have been described for this gene.