Warehouse Overstock Promotion |  Save 10%  on Premium Lab Supplies |  Shop Now

Menu

This product has been added to the cart.

ATP6AP2 Polyclonal Antibody Store at -20°C

SKU: E-AB-14778-200

  • $ 55995
  • Save $ 4000


Request a Quote

ATP6AP2 Polyclonal Antibody Store at -20°C

 

SKU # E-AB-14778
Reactivity Human,  Mouse,  Rat
Host Rabbit
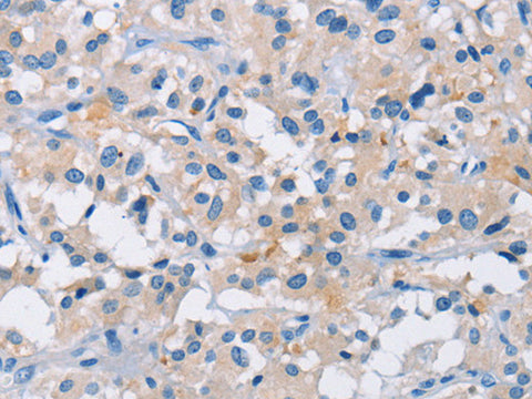
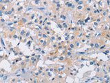
Applications IHC

 

Product Details

Isotype IgG
Host Rabbit
Reactivity Human,  Mouse,  Rat
Applications IHC
Clonality Polyclonal
Immunogen Recombinant protein of human ATP6AP2
Abbre ATP6AP2
Synonyms APT6M8 9,  APT6M8-9,  ATP6AP2,  ATP6IP2,  ATP6M8-9,  ATPase H(+)-transporting lysosomal accessory protein 2,  ATPase H(+)-transporting lysosomal-interacting protein 2,  ATPase H+ transporting lysosomal accessory protein 2,  ATPase H+ transporting lysosomal interacting pr
Swissprot
Cellular Localization Membrane.
Concentration 0.6 mg/mL
Buffer Phosphate buffered solution, pH 7.4, containing 0.05% stabilizer and 50% glycerol.
Purification Method Affinity purification
Research Areas Cancer,  Metabolism,  Signal Transduction
Conjugation Unconjugated
Storage Store at -20°C Valid for 12 months. Avoid freeze / thaw cycles.
Shipping The product is shipped with ice pack,upon receipt,store it immediately at the temperature recommended.

 

Related Reagents

Applications Recommended Dilution
IHC 1:25-1:100

 

Background

This gene encodes a protein that is associated with adenosine triphosphatases (ATPases). Proton-translocating ATPases have fundamental roles in energy conservation, secondary active transport, acidification of intracellular compartments, and cellular pH homeostasis. There are three classes of ATPases- F, P, and V. The vacuolar (V-type) ATPases have a transmembrane proton-conducting sector and an extramembrane catalytic sector. The encoded protein has been found associated with the transmembrane sector of the V-type ATPases.