Warehouse Overstock Promotion |  Save 10%  on Premium Lab Supplies |  Shop Now

Menu

This product has been added to the cart.

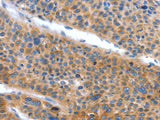
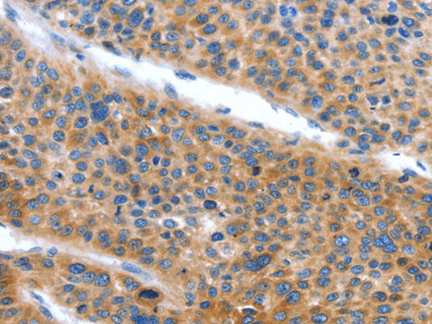
ARL11 Polyclonal Antibody Store at -20°C

SKU: E-AB-14769-200

  • $ 55995
  • Save $ 4000


Request a Quote

ARL11 Polyclonal Antibody Store at -20°C

 

SKU # E-AB-14769
Reactivity Human
Host Rabbit
Applications IHC

 

Product Details

Isotype IgG
Host Rabbit
Reactivity Human
Applications IHC
Clonality Polyclonal
Immunogen Recombinant protein of human ARL11
Abbre ARL11
Synonyms ADP ribosylation factor like 11,  ADP ribosylation factor like protein 11,  ADP ribosylation factor like tumor suppressor protein 1,  ADP-ribosylation factor-like protein 11,  ADP-ribosylation factor-like tumor suppressor protein 1,  ARL11,  ARLTS1
Swissprot
Cellular Localization Other locations: intracellular.
Concentration 0.5 mg/mL
Buffer Phosphate buffered solution, pH 7.4, containing 0.05% stabilizer and 50% glycerol.
Purification Method Affinity purification
Research Areas Cancer,  Signal Transduction
Conjugation Unconjugated
Storage Store at -20°C Valid for 12 months. Avoid freeze / thaw cycles.
Shipping The product is shipped with ice pack,upon receipt,store it immediately at the temperature recommended.

 

Related Reagents

Applications Recommended Dilution
IHC 1:50-1:200

 

Background

This gene encodes a tumor suppressor related to the ADP-ribosylation factor (ARF) family of proteins. The encoded protein may play a role in apoptosis in a caspase-dependent manner. Polymorphisms in this gene have been associated with some familial cancers.