Warehouse Overstock Promotion |  Save 10%  on Premium Lab Supplies |  Shop Now

Menu

This product has been added to the cart.

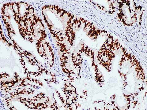
AR Monoclonal Antibody Synonyms AR

SKU: PA6568-1.5

  • $ 14795
  • Save $ 1800


Request a Quote

AR Monoclonal Antibody Synonyms AR

 

Product Details

Host Mouse
Reactivity Human
Applications IHC-P
Synonyms AR
Cellular Localization nucleus
Tissue Specificity Prostate cancer
Storage The RTU should be stored at 2~8°C protecting from light (Do not freeze),Valid for 12 months.
Shipping Ice bag

 

Background

Androgen receptor (AR) plays an important role in the development of prostate cancer. The positive expression of AR is related to the degree of prostate cancer tissue differentiation, and the patients with AR have significant effect on anti-hormone therapy. It is mainly used to detect prostate cancer and guide the treatment. At present, it can also be used in the research of breast cancer, esophageal cancer and other malignant tumors. Androgen receptor (AR) is highly expressed in well differentiated tumors, but low or no expression in poorly differentiated tumors.