Warehouse Overstock Promotion |  Save 10%  on Premium Lab Supplies |  Shop Now

Menu

This product has been added to the cart.

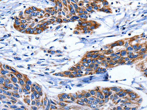
AQP8 Polyclonal Antibody

SKU: E-AB-12345-200

  • $ 55995
  • Save $ 4000


Request a Quote

AQP8 Polyclonal Antibody

 

SKU # E-AB-12345
Reactivity Human
Host Rabbit
Applications IHC

 

Product Details

Isotype IgG
Host Rabbit
Reactivity Human
Applications IHC
Clonality Polyclonal
Immunogen Synthetic peptide of human AQP8
Abbre AQP8
Synonyms AQP 8,  AQP-8,  AQP8,  Aquaporin 8,  Aquaporin-8,  Aquaporin8
Swissprot
Cellular Localization Membrane.
Concentration 0.9 mg/mL
Buffer Phosphate buffered solution, pH 7.4, containing 0.05% stabilizer and 50% glycerol.
Purification Method Affinity purification
Research Areas Metabolism,  Signal Transduction
Conjugation Unconjugated
Storage Store at -20°C Valid for 12 months. Avoid freeze / thaw cycles.
Shipping The product is shipped with ice pack, upon receipt, store it immediately at the temperature recommended.

 

Related Reagents

Applications Recommended Dilution
IHC 1:50-1:200

 

Background

Aquaporin-8 is a protein that in humans is encoded by the AQP8 gene. Aquaporin 8 (AQP8) is a water channel protein. Aquaporins are a family of small integral membrane proteins related to the major intrinsic protein (MIP or AQP0). Aquaporin 8 mRNA is found in pancreas and colon but not other tissues. Forms a water-specific channel; mercury-sensitive. Not permeable to glycerol or urea. Expressed only in pancreas and colon.