Warehouse Overstock Promotion |  Save 10%  on Premium Lab Supplies |  Shop Now

Menu

This product has been added to the cart.

Annexin A1 Monoclonal Antibody Stored at -20°C

Annexin A1 Monoclonal Antibody Stored at -20°C

SKU: ELAB6608-M-0.1

  • $ 53695
  • Save $ 6500


Request a Quote

Annexin A1 Monoclonal Antibody Stored at -20°C

 

Product Details

Host Mouse
Reactivity Human
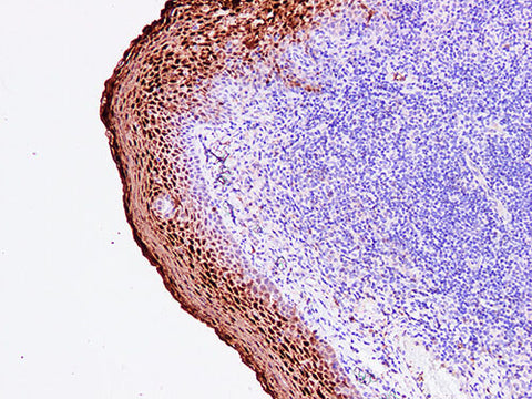
Applications IHC-P
Synonyms Annexin A1
Cellular Localization Cytoplasm/nucleus
Tissue Specificity Tonsil
Storage The concentrated should be stored at -20°C protecting from light,Valid for 12 months.
Shipping Ice bag

 

Background

Annexin A1 is a member of calcium dependent phospholipid binding protein superfamily, which is widely expresseded in human tissues. It is an endogenous anti-inflammatory medium, which plays a role in innate and adaptive immunity by controlling the biosynthesis of inflammation, prostaglandin and leukotriene mediators. Annexin A1 can be used to distinguish leukemia from other B-cell lymphoma. The overexpression of Annexin A1 is also frequently found in adenocarcinoma of the esophageal and gastroesophageal junction, which is related to pathological T stage and distal metastasis, and is an independent prognostic indicator.