Warehouse Overstock Promotion |  Save 10%  on Premium Lab Supplies |  Shop Now

Menu

This product has been added to the cart.

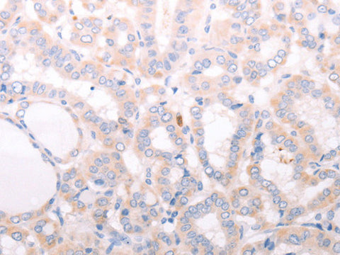
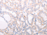
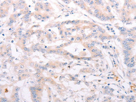
ANKRA2 Polyclonal Antibody

SKU: E-AB-12719-200

  • $ 55995
  • Save $ 4000


Request a Quote

ANKRA2 Polyclonal Antibody

 

SKU # E-AB-12719
Reactivity Human, Mouse
Host Rabbit
Applications IHC

 

Product Details

Isotype IgG
Host Rabbit
Reactivity Human, Mouse
Applications IHC
Clonality Polyclonal
Immunogen Synthetic peptide of human ANKRA2
Abbre ANKRA2
Synonyms ANKRA,  ANKRA 2,  ANKRA2,  ANRA2,  Ankyrin repeat family A (RFXANK like) 2,  Ankyrin repeat family A 2,  Ankyrin repeat family A protein 2,  Ankyrin repeat-containing protein,  C11,  C11 - RNP3,  My010,  OTTHUMP00000128195,  RFXANK like 2,  RFXANK-like pro,  family A,  hRPC11,  member 2
Swissprot
Cellular Localization Cytoplasm>cytoskeleton. Membrane.
Concentration 0.3 mg/mL
Buffer Phosphate buffered solution, pH 7.4, containing 0.05% stabilizer and 50% glycerol.
Purification Method Affinity purification
Research Areas Epigenetics and Nuclear Signaling,  Neuroscience
Conjugation Unconjugated
Storage Store at -20°C Valid for 12 months. Avoid freeze / thaw cycles.
Shipping The product is shipped with ice pack,upon receipt,store it immediately at the temperature recommended.

 

Related Reagents

Applications Recommended Dilution
IHC 1:25-1:100

 

Background

This protein may facilitate endocytosis by linking megalin to components of the cytoskeleton or endocytic machinery. ANKRA2 is a megalin- and BKCa potassium channel-interacting factor. It is a protein known to interact with HDAC4 and HDAC5.ANKRA2 is important for transcriptional repression by AhRR.