Warehouse Overstock Promotion |  Save 10%  on Premium Lab Supplies |  Shop Now

Menu

This product has been added to the cart.

ADCY4 Polyclonal Antibody

SKU: E-AB-10740-200

  • $ 33995
  • Save $ 6000


Request a Quote

ADCY4 Polyclonal Antibody

 

SKU # E-AB-10740
Reactivity Human, Mouse, Rat
Host Rabbit
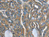
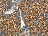
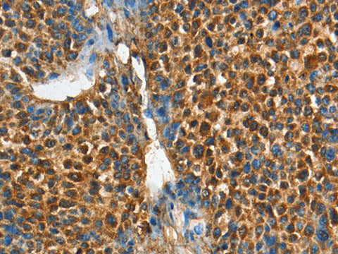
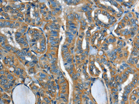
Applications IHC

 

Product Details

Isotype IgG
Host Rabbit
Reactivity Human,  Mouse,  Rat
Applications IHC
Clonality Polyclonal
Immunogen Recombinant protein of human ADCY4
Abbre ADCY4
Synonyms AC4,  ADCY4,  ATP pyrophosphate lyase,  ATP pyrophosphate lyase 4,  ATP pyrophosphate-lyase 4,  Adcy4,  Adenylate cyclase 4,  Adenylate cyclase type 4,  Adenylate cyclase type IV,  Adenylyl cyclase,  Adenylyl cyclase 4
Swissprot
Cellular Localization Membrane.
Concentration 0.4 mg/mL
Buffer Phosphate buffered solution, pH 7.4, containing 0.05% stabilizer and 50% glycerol.
Purification Method Affinity purification
Research Areas Cancer,  Metabolism,  Signal Transduction
Conjugation Unconjugated
Storage Store at -20°C Valid for 12 months. Avoid freeze / thaw cycles.
Shipping The product is shipped with ice pack,upon receipt,store it immediately at the temperature recommended.

 

Related Reagents

Applications Recommended Dilution
IHC 1:50-1:200

 

Background

This gene encodes a member of the family of adenylate cyclases, which are membrane-associated enzymes that catalyze the formation of the secondary messenger cyclic adenosine monophosphate (cAMP). Mouse studies show that adenylate cyclase 4, along with adenylate cyclases 2 and 3, is expressed in olfactory cilia, suggesting that several different adenylate cyclases may couple to olfactory receptors and that there may be multiple receptor-mediated mechanisms for the generation of cAMP signals. Alternative splicing results in transcript variants.