Warehouse Overstock Promotion |  Save 10%  on Premium Lab Supplies |  Shop Now

Menu

This product has been added to the cart.

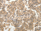
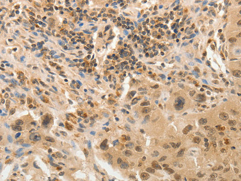
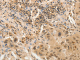
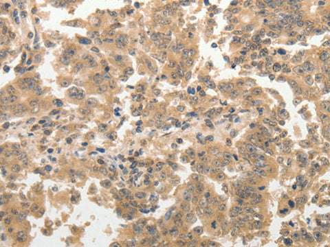
ADAR Polyclonal Antibody Store at -20°C

SKU: E-AB-12696-200

  • $ 55995
  • Save $ 4000


Request a Quote

ADAR Polyclonal Antibody Store at -20°C

 

SKU # E-AB-12696
Reactivity Human
Host Rabbit
Applications IHC

 

Product Details

Isotype IgG
Host Rabbit
Reactivity Human
Applications IHC
Clonality Polyclonal
Immunogen Synthetic peptide of human ADAR
Abbre ADAR
Synonyms 136 kDa double-stranded RNA-binding protein,  136kDa double stranded RNA binding protein,  ADAR,  AGS6,  AV2,  Adar 1,  Adar1,  Adenosine deaminase RNA specific,  Adenosine deaminase RNA specific 1,  Adenosine deaminase acting on RNA 1 A,  Adenosine deaminase that act on RNA
Swissprot
Cellular Localization Cytoplasm. Nucleus>nucleolus. Isoform 1 is found predominantly in cytoplasm but appears to shuttle between the cytoplasm and nucleus. Isoform 5 is found exclusively in the nucleolus.
Concentration 0.3 mg/mL
Buffer Phosphate buffered solution, pH 7.4, containing 0.05% stabilizer and 50% glycerol.
Purification Method Affinity purification
Research Areas Cancer,  Epigenetics and Nuclear Signaling,  Microbiology
Conjugation Unconjugated
Storage Store at -20°C Valid for 12 months. Avoid freeze / thaw cycles.
Shipping The product is shipped with ice pack,upon receipt,store it immediately at the temperature recommended.

 

Related Reagents

Applications Recommended Dilution
IHC 1:50-1:200

 

Background

This gene encodes the enzyme responsible for RNA editing by site-specific deamination of adenosines. This enzyme destabilizes double-stranded RNA through conversion of adenosine to inosine. Mutations in this gene have been associated with dyschromatosis symmetrica hereditaria. Alternative splicing results in multiple transcript variants.